ペインクリニック芦屋ピッコロ診療所のロゴ

片頭痛 ペインクリニック芦屋ピッコロ診療所

片頭痛について

頭痛のために楽しみにしていた予定をキャンセルしてしまう、仕事が手につかなくなる、仕事を休んでしまう、せっかくの休日が台無しになる、そんな経験をしたことはありませんか?

~頭痛の心配がない毎日を目指して第一歩を踏み出しましょう~

1. 片頭痛とは

片頭痛は、強い頭痛や吐き気で動けなくなるつらい疾患です。
発作のときだけでなく、「次はいつ来るのか」という不安と付き合いながら生活されている方も少なくありません。
「仕事のある日に発作が出たら困る」
「楽しみにしていた予定をキャンセルしたくない」
そんな思いから、片頭痛のある方は生活や行動を制限してしまうことがあります。

片頭痛のメカニズムの説明画像

片頭痛は発作的に起こり、4時間から72時間、頭痛が続きます。片頭痛では同じような症状の頭痛が間欠的に起こります。適切な治療を行うことにより、① 頭痛の回数を減らす、② 頭痛の程度を軽くする、③ 頭痛薬の効果を高くする、といったことが期待できます。

2. なぜ片頭痛が起こるの?

片頭痛は、脳や顔まわりの感覚神経が一時的に過敏になり、炎症を起こしている状態と考えられています。そのため、本来なら気にならないはずの“血管の拍動”でさえ強い刺激として伝わり、ズキズキした痛みとして感じてしまいます。イメージとしては、荒れた肌に塩が触れると強くしみるようなものです。
普段なら問題ない刺激でも、敏感になった神経には痛みとして響いてしまう、それが片頭痛の特徴です。

片頭痛の引き金(トリガー)としては、気圧や天候の変化、強い光や音、睡眠不足や寝すぎ、特定の食べ物、ホルモンバランスの変化、首や肩まわりの筋肉の緊張・首の痛み など、さまざまなものが知られています。

これらの刺激が加わると、頭や顔の感覚を司る 三叉神経 が過剰に興奮し、CGRP(カルシトニン遺伝子関連ペプチド)やサブスタンスP といった炎症を引き起こす物質が放出されます。その結果、神経の周囲に 「神経原性炎症」 と呼ばれる炎症が起こり、この炎症を脳が「強い痛み」として感じることで、片頭痛が発症します。

つまり片頭痛は、
「ひとつの原因だけで起こる病気」ではありません。
いくつもの要因が重なり合い、体の中で神経や血管の反応が連鎖的に起こることで、はじめて片頭痛として現れると考えられています。片頭痛は、気圧・光・睡眠・ホルモン・首の緊張など複数の刺激が重なり、三叉神経が過敏になることで起こる病気です。

3. 片頭痛の症状

片頭痛には特徴的な症状があります。

  1. 頭の片側に頭痛が起こる
  2. ズキズキと拍動性の頭痛が起こる
  3. 日常生活動作に支障、仕事に支障がでる
  4. 頭痛に吐き気を伴う
  5. 光や音、匂いに敏感になる

ただし、片頭痛の方でもこれらの特徴に当てはまらない方もいます。
例えば、両側に頭痛が起こったり、頭痛の症状が締め付ける感じであったり、といったことです。日常生活に大きな支障が出るような頭痛の場合、片頭痛である可能性が高いと考えられます。

4. 片頭痛の発作時(頭が痛いとき)の治療

片頭痛の発作が起こったときには、症状の強さや発作の特徴に合わせて内服薬による治療を行います。片頭痛の治療薬には、一般的な鎮痛薬から片頭痛専用薬までいくつか種類があり、適切に使うことで症状のコントロールが期待できます。

鎮痛薬:アセトアミノフェン(カロナール)、ロキソニン、イブプロフェン

ドラッグストアなどでも購入できるので、最も広く用いられています。片頭痛だけではなく身体の様々な部位の痛みにも有効です。片頭痛に使う場合の注意としては、これらの薬は片頭痛を感じにくくする、という効果はありますが片頭痛の発作を根本的に鎮めるものではありません。多用すると片頭痛が慢性的に続く状態になります。

トリプタン製剤

トリプタン製剤は、片頭痛の発作時に使う片頭痛専用のお薬です。一般的な鎮痛薬とは違い、片頭痛が起こる仕組みに直接働きかけて、根本的に片頭痛を鎮めるという特徴があります。
現在、使用されているトリプタン製剤には次の種類があります。

  • スマトリプタン
  • ゾルミトリプタン
  • リザトリプタン
  • ナラトリプタン

これらのお薬は、効き方の強さや効果が出るまでの時間、効果の持続時間がそれぞれ違います。そのため、片頭痛が起こるタイミングや症状の特徴、生活スタイルに合わせて、適した薬を選ぶことが大切です。

また、効果を発揮しやすい飲むタイミングがありますので、担当の医師と相談しながら自分に合った使い方を見つけていきましょう。

ラスミジタン(レイボー)

ラスミジタン(商品名:レイボー)は、トリプタン製剤とは異なるタイプの片頭痛治療薬です。血管を強く収縮させずに片頭痛の発作を鎮める働きがあり、体質や持病によってトリプタンが使いにくい方でも内服できるので、治療の選択肢が広がります。
服用後に眠気、めまいなどの副作用が出ることがあります。レイボーは上手に使い始めることが大切です。

ナルティーク(リメゲパント)とは

ナルティークは、片頭痛の「発作時の治療」と「発作の予防」の両方に使える、新しい経口(飲み薬)の片頭痛治療薬です。従来、別々だった“治療薬”と“予防薬”を、1種類で使い分けができる点が大きな特徴です。

この薬は、片頭痛の原因とされる「CGRP(カルシトニン遺伝子関連ペプチド)」の受容体をブロックすることで作用します。CGRPは片頭痛発作時に放出され、血管拡張や炎症などを起こすと考えられていますが、ナルティークはこの流れを抑えることで片頭痛を鎮めます。

片頭痛のお薬選びは「自分に合うもの」が大切

片頭痛の薬は、「強ければいい」「新しいものがいい」というわけではなく、次のようなポイントで選びます。

  • 痛みの強さと副作用のバランス
  • 発作の頻度
  • どのタイミングで頭痛が始まるか
  • 生活リズム
  • 服用タイミングの調整がしやすいか
  • 持病や体質

片頭痛は人によって症状も体質も大きく違います。自分に合った薬を見つけることが、発作時の負担を減らす第一歩です。

困ったときはご相談ください

「薬を飲むタイミングがわからない」
「効いているのか判断しづらい」
「種類が多くて何が合うかわからない」
そんなときはお一人で悩まず、いつでもご相談ください。
片頭痛は適切に治療することで、生活の質を大きく改善できる病気です。

5. 片頭痛で吐き気がする場合の対策

片頭痛の発作時の特徴として頭痛とともに嘔気がつらい、ということがあります。適切なタイミングでトリプタンやラスミジタンを内服することで頭痛と嘔気の消失が期待できます。嘔気止めの薬を同時に内服することもあります。

6. 片頭痛の予防(頭痛の回数を減らす、頭痛の程度を軽くする)の治療

月に2回以上片頭痛が起こる場合は予防療法を取り入れていきましょう。適切な急性期治療薬を使用しても日常生活に支障をきたす片頭痛発作が起こるのであれば、頭痛の頻度が少なくても予防療法を行っていただくことで頭痛症状の軽減が期待できます。月に10回以上片頭痛発作が起こるのであれば、頓服薬の効果が弱くなってくる可能性、連日性頭痛に移行する可能性があるので、積極的に予防療法を行いましょう

予防療法は ①予防薬の内服、②CGRP関連抗体薬、③神経ブロック注射などを日常生活の見直しとともに進めていきます。

予防薬の内服

片頭痛の性質、体質などを参考にして薬を選択します。片頭痛の予防薬として認可されている薬はロメリジン(ミグシス®︎)、プロプラノロール(インデラル®︎)、バルプロ酸(セレニカ®︎、デパケン®︎)、アミトリプチリン(トリプタノール®︎)があります。このような薬で副作用が強い、もしくは薬を内服することが心配という方には漢方薬を使用しています。当院は院長が東洋医学会漢方専門医なので体質に合った漢方薬を選択し処方できます。漢方薬は頭痛だけではなく、アンチエイジングや冷え性の対策にもなります。

CGRP関連抗体薬

CGRP(カルシトニン遺伝子関連ペプチド)は主に三叉神経節で発現する神経ペプチドで、片頭痛が起こるときに血中CGRP濃度が上昇していると報告されています。 抗CGRP抗体(エムガルティ®、アジョビ®)、抗CGRP受容体抗体(アイモビーク®)の皮下注射はこのCGRPの活動を阻害することで片頭痛の発症を抑制します。注意点として、これらの治療は1ヶ月に4回以上の頭痛があり、従来からの予防療法が有効でない場合に行います。注射の痛みは予防接種と同じくらいです。

神経ブロック注射

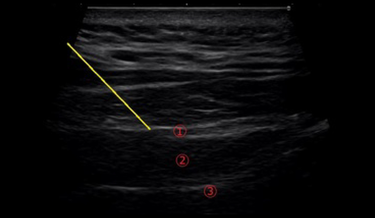
頻度の多い片頭痛を予防するために大後頭神経ブロック、星状神経節ブロックを行います。神経ブロック注射は専門的な知識と高度な技術を要するので、限られた施設でのみ行われています。慢性片頭痛の方に後頭神経ブロックを行うことで血中のCGRP濃度が低下するという報告があります(Neurol Int. 2022 Mar; 14(1): 199-206.)。当院では超音波を用いて大後頭神経ブロック注射を行っています。可視化してブロック注射を行うことで高い安全性と確実性が期待できます。

後頭神経図 黄色:注射針 ①:大後頭神経 ②:下頭斜筋 ③:頚椎

生活習慣の見直し

不規則な生活、心身への過剰なストレスにより片頭痛が起こりやすくなります。以下の内容が有効です。

  1. 十分な睡眠と規則的な生活リズムを守る
  2. ストレスを溜めないようにする。ストレスが溜まるときはリラックスできる環境(適度な運動、ストレッチ、ヨガ、マインドフルネス、十分な休養)をつくる。
  3. 部屋の照明、壁紙、液晶画面などの光刺激をできるだけ弱くする。音や匂いについても強い刺激を避ける。
  4. 特定の食べ物(チョコレート、ワイン、中華料理、ウインナーなどが多い)を摂取して頭痛がでるのであれば控える。

7. CGRP関連薬(エムガルティ®、アジョビ®、アイモビーク®)

片頭痛予防薬を使用することで、片頭痛発作の起こる回数を減らす、もしくは頓挫薬(頭痛を抑える薬)でより良い効果を得ることが期待できます。

図:予防治療薬に期待すること

CGRP関連薬は片頭痛を引き起こす三叉神経の興奮を起こりにくくすることで片頭痛を予防します。片頭痛の引き金となる根本的な部位をブロックします。眠気や倦怠感などの副作用はありません。従来の片頭痛予防薬は自動車運転に影響が出るものが多いのですが、本剤は自動車運転に差し支えありません。

図:CGRP

CGRP関連薬の有効性ですが、エムガルティ、アジョビ、アイモビークの3剤いずれも頭痛日数が50%以上減る50%反応率がおおよそ半分、全く頭痛がなくなってしまう100%反応率が1割くらいと報告されています。当院では50%反応率が7割でした。頭痛日数が減少する方の多くが投与初月に頭痛回数が減っており、みなさま遅くとも3か月以内に頭痛が減っていました。

8. 動注治療(※自費での治療となります。)

動注治療は「薬を飲まずに行える」、片頭痛の治療です。片頭痛では、こめかみの血管(浅側頭動脈)を圧迫すると頭痛が軽快するように、浅側頭動脈が頭痛に関係していることが知られています。浅側頭動脈は、片頭痛の特徴である「ズキズキ」「脈打つような痛み」と関連が深い血管です。
片頭痛の発作時には、浅側頭動脈や後頭動脈が拡張し、周囲の神経を刺激することで痛みが強くなる(増幅される)と考えられています。
動注治療は、浅側頭動脈と後頭動脈に炎症を抑える薬剤を注入することで、片頭痛発作の発症や悪化を抑えることを目的とします。
治療は、こめかみ付近から極細の針を用いて、頭皮直下の血管(頭蓋骨の外側です)に薬剤を注射します。処置にかかる時間は5分程度です。

この治療はオクノクリニックの奥野先生によって2014年に開発されたものです。
当院はオクノクリニックとライセンス契約を結び動注治療を行なっております。

治療の費用

片側
25,000円 (税込価格27,500円)
両側
35,000円(税込価格38,500円)
  • お支払い方法は、現金のみとなります。
動注治療の詳細を見る

9. 頭痛回数が増えてきた場合(1か月に10回以上)の対処

心身の状態によって頭痛回数が増えてくることがあります。特に、頭痛が月に15日以上の頻度で3か月を超えて起こり、月に8日以上で片頭痛の特徴を持っているものを慢性片頭痛と呼びます。慢性片頭痛になると生活への支障度が大きくなってきます。治療については適切な予防療法をじっくりと行っていくことが大切です。場合によっては数か月から数年間、地道に治療に取り組む必要があります。

10. 片頭痛の性質が変わってきた時の対処(痛覚変調性疼痛)

2021年に日本疼痛学会など痛み専門の国内学会で定められた用語です。身体のどこかに痛めた部分はなく、神経や脳の損傷が無いのに、とにかく常に痛い、という状態です。神経系のセンサーの誤作動で起こるのではないかと考えられています。元来は片頭痛の症状のみだったのに重い締め付ける頭痛が起こる、片頭痛で定義されている72時間を超えてもダラダラと頭痛が続くといったことが起こります。治療については適切な予防療法をじっくりと行なっていくことが必要です。

11. 片頭痛と妊娠・授乳

妊娠・授乳期の片頭痛では、「治療できないのでは」と不安に感じる方も多いですが、状況に応じた安全な治療選択肢があります。頭痛が起こった際の治療としては、アセトアミノフェンが妊娠中・授乳中ともに第一選択で、適切に使用すれば安心して用いることができます。授乳期では、スマトリプタンなどのトリプタン製剤も選択肢となります。
予防療法についても、生活リズムの調整、睡眠・食事管理、ストレス対策などの非薬物療法が中心となりますが、症状が強い場合には産婦人科と連携し、慎重に薬物治療を検討します。妊娠・授乳中であっても我慢せず、安心してご相談ください。

12. 薬を使いたくない人の片頭痛への対策

片頭痛の治療は有効性の高い薬が上市されてきたので、頭痛の回数・程度を抑える予防療法、起こった頭痛を軽快させる頓挫療法とも薬物療法に目が向きます。しかし、副作用などで内服できない、そもそも薬など飲みたくない、という方もいると思います。

片頭痛を起こりにくくする、頭痛で困らないようにする対策としては

  • 頭痛の出るタイミングを把握する。
  • 前もって周囲の人たちに片頭痛があること、頭痛の際にはしばらく休憩する必要があることを伝えておく、理解を得ておく。
  • 十分な睡眠と規則的な生活リズムを守る。
  • 空腹で頭痛が出てくることがある。
  • ストレスを溜めないようにする。ストレスが溜まるときはリラックスできる環境(適度な運動、ストレッチ、ヨガ、マインドフルネス、十分な休養)をつくる。
  • 部屋の照明、壁紙、液晶画面などの光刺激をできるだけ弱くする。音や匂いについても強い刺激を避ける。
  • 部屋の照明、壁紙、液晶画面などの光刺激をできるだけ弱くする。音や匂いについても強い刺激を避ける。
  • 特定の食べ物(チョコレート、ワイン、中華料理、ウインナーなどが多い)で頭痛がでるのであれば控える。

頭痛が起こった際の対処としては

  • 部屋を暗くして静かな環境でゆっくりと休む。
  • 前頭部を冷やす。
  • 手指の水かきの部分の指圧をする。

が挙げられます。

13. 睡眠と頭痛

睡眠の充実と頭痛の発生の関連性については数多くの報告を認めます。当院では、安易に睡眠薬を処方するのではなく、睡眠を障害する要因を探り、より快適な睡眠をしていただくことで片頭痛の状態改善に努めています。

14. 片頭痛と栄養

もちろん、偏りのない栄養バランスのとれた食事が重要です。3食、なるべく決まった時間に食事を摂りましょう。適切な量のビタミン、ミネラルも頭痛の予防に有効です。

※ 栄養素は不足でも過剰でも心身にトラブルを引き起こします。
① マグネシウム:大豆、アーモンド、玄米など
② DHA(ドコサヘキサエン酸)・EPA(エイコサペンタエン酸):イワシ、サバなどの青魚
③ ビタミンB2:肉類(とくにレバー)、牛乳・乳製品、卵など
④ ビタミンB12:魚介類、藻類、肉類、卵類、乳類など

15. 片頭痛についての色々

◎ 片頭痛は遺伝するの?

→ 片頭痛の診断では家族歴も考慮します。一部の片頭痛は引き起こす遺伝子が特定されています

◎ 片頭痛は4~72時間続くといわれるが、72時間経っても頭痛が続いている。

→ 日常生活が困難になるほどの頭痛発作が72時間以上続く場合を片頭痛発作重積とよびます。

適切な治療をすることで症状がおさまってきます。ただし、いつもと異なる頭痛発作が起こった時は二次性頭痛(脳卒中、腫瘤、全身性の病気など何かのトラブルがあって頭痛が起こること)が起こっていないかを画像検査、血液検査などできちんと除外しなくてはいけません。

◎ 片頭痛があると脳梗塞になりやすいのか?

→ 前兆のある片頭痛(頭痛の前にキラキラが見える、体が動かなくなるなどの前兆がある)がある場合、経口避妊薬や喫煙によって脳梗塞を起こす危険性が高くなると報告されています。

◎ 低気圧がくると、雨が降ると、台風が近づくと片頭痛が起こるのか?

→ 天候や気温の変化を感じ取って片頭痛が起こる方もいます。ただ、何が片頭痛発作の引き金になるかはそれぞれにより異なります。自身の頭痛の特徴を知ることが大切です。

PICCOLON ペインクリニック芦屋ピッコロ診療所マスコット

片頭痛なら、ペインクリニック芦屋ピッコロ診療所にお任せください。

腰痛、頭痛、肩、膝痛などの整形外科疾患の治療を得意としています。神戸市、西宮市、苦楽園、尼崎市からもアクセスが便利です。甲南山手・夙川からも沢山ご来院いただいています。

Conditions

受診予約をご希望の方へ

当院の受診をご希望の方は、
下記よりご予約いただけます。

  • ご予約をしていただいてもお待ちいただく時間が長くなることもございますので、予めご了承ください。
  • ご予約の方を優先で診察させていただきますので、予約のない方は長時間お待ちいただく場合がございます。
  • 予約時間の変更やキャンセルをされる場合は、必ず早めに連絡をお願いいたします。
パララックス画像
PICCOLON ペインクリニック芦屋ピッコロ診療所マスコット PAGE TOP
リハビリ 施設基準
及び加算に
関する掲示